Denizli'de yaşayan 78 yıllık kadın ve emekli bir öğretmen yakın zamanda akciğer enfeksiyonu nedeniyle hastanede idi. 1 ay önce gittiği hastanede bronkoskopinin yapılmasına rağmen, sorunun tespit edilmediği öğrenildi. Yaşlı kadın, sağ akciğerin Pamukkale Üniversite Hastanesi'nin belirlenmesine tamamen kapatıldığı hastaneye gitti.
Bu nesne mısırdan çıktı
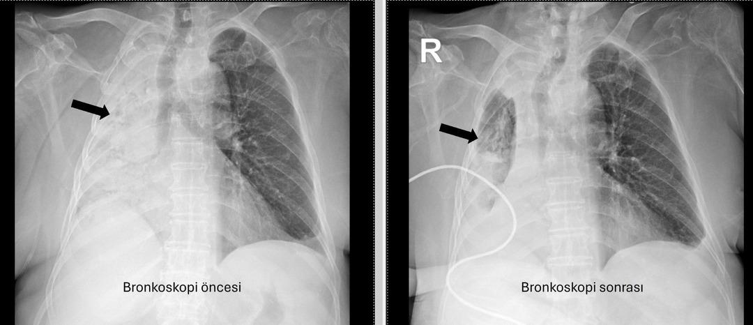
Pau Ökr Hastaneleri Göğüs Hastalıkları Bölümü. Prof.dr. Üye Dr.Köksel Altōiş Ergur, sağ akciğerler tarafından yapılan sınavlar için tamamen kapatıldı. Acil bronkoskopi planlandı ve prosedür derhal gerçekleştirildi. Dr. Al yaşşık ergur, hava yollarını incelerken çok yoğun ve karanlık bir salgılama ile esnek bir “bronkoskop” (esnek, katlanabilir), ancak hava yollarının derinlemesine temizlenmesini takiben, bir olaydan dolayı dönüştürüldüğünün, beraberinde bir şekilde dönüştürüldüğü ve beraberinde, bir olaydan dolayı dönüştürüldüğünü, berrak olduğunu, berrak olduğunu, berrak olduğunu açıkladığını, beraberinde kefil olduğunu açıkladığını açıkladığını açıkladığını açıkladığını açıkladığını açıkladığını açıkladığını açıkladığını açıkladığını açıkladığını, beraberinde getirdiğini açıkladığını açıkladığını açıkladığını açıkladı. Vücudun açık olduğu açık olduğu açık olduğu açık olduğu açıktı. genel anestezi ile yapılmıştır;

Yediği pizza ciğerlerine gitti
Prof. Alküzek Ergur, hastanın trakeasının nasıl engellendiğini açıkladı: “Havayollarında sıvı emen aspiratörün gücünü kullanarak nesneyi çıkarmak mümkün oldu. Hastanın hastanın tekrar yediği pizzada yediği pizza için daha önemli olduğu öğrenildi.

“Nesne Heimlich'in manevrası veya öksürüğü ile atılamazsa, bronkoskopiye müdahale etmek gerekir”
Pau Ökr Hastaneleri Göğüs Hastalıkları Bölümü. Prof.dr. Üye Dr. Göksel Altuzer, “Normalde özofagus ve trakea arasında, Epiglot adı verilen kapsama, gıdaların yanlışlıkla hava yollarına kaçmasını önler. Bir yaşam manevrası ve kalıcı vücuda müdahale etmek gerekir.
(İHA)
